The auditorium was set alight with multi-specialty discussions of WoodFire® during Plenary session 8 “Kidney Cancer update from Kidney Cancer Association”.
WoodFire® comprised rapid-fire debates on renal cell carcinoma which abided by the following cardinal rules:
- Data not given here are considered within the limits of normal pathological findings.
- If you want to introduce a patient to a trial, name the trial and objectives. The trial has to be open.
- If you want to treat a patient with systemic therapy, only name one regimen you would prescribe and the dosage.
- Come up with a clear recommendation assuming the patient will choose your option.
- Do not tell what you could do but what you would do.
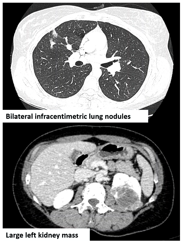
One of the four cases
Moderator medical oncologist Asst. Prof. Ronan Flippot (FR) kickstarted WoodFire® with the first case: a 40-year-old female patient who had a small abundance of haemoptysis, which prompted a CT scan. A kidney mass biopsy was performed and the results revealed large atypical cells, sometimes fusiform, and eosinophilic cytoplasm. Necrosis was present as well. The markers were identified as CAIX+, CD10+, and PAX 8+.
Pathologist Dr. Soha El Sheikh (GB) stated that PAX 8+ indicates a primary renal tumour rather than a metastasis. CAIX+ and CD10+ are usually seen as positive in clear cell renal cell carcinoma (ccRCC) however the morphology describing fusiform and eosinophilic cytoplasm does not fit the typical low-grade ccRCC profile. Necrosis and the large atypical cells indicate aggressive behaviour. Dr. El Sheikh deduced that it was potentially a high-grade ccRCC. Prof. Flippot revealed it was clear-cell RCC ISUP 4 sarcomatoid.
Prof. Flippot proceeded to describe what was seen in the CT scan (see image): primary lung metastasis, a small abundance of haemoptysis, the nodules were in the proximity of major vessels in the lung, and the primary tumour was asymptomatic. He asked the panel if the primary tumour should be removed. Urologist and Chair of Plenary Session 8, Prof. Axel Bex (GB) opted for systemic therapy. Medical oncologist Dr. Laura Marandino (GB), radiation oncologist Prof. Ben Vanneste (NL), and urologist Dr. Wolfgang Loidl (AT) agreed.

Prof. Flippot proceeded with the case and stated that the patient was given pembrolizumab and axitinib. Complete response on metastasis was achieved at six months and the primary tumour was still unresected. However, at 12 months, new metastasis has formed in the lung (one to two confirmed lesions of approximately 8mm). Prof. Flippot asked the panel what the next step is.
Prof. Bex suggested a consultation with a multidisciplinary tumour board. Prof. Vanneste advised to continue with the systemic treatment and perform stereotactic body radiotherapy (SBRT) for the lesions. He expects no toxicity and local control of the lesions can be achieved. Dr. Marandino agreed with opting for continued systemic therapy, followed by an early interval scan to check that there is no further progression before performing stereotactic ablative radiotherapy (SABR).
Prof. Flippot said that indeed SBRT was applied for the lesions and the medications were continued. At three months, there was no recurrence of the disease. At six months, the primary tumour was still intact. Should the tumour be removed? Dr. Loidl replied that it has to be discussed with the patient. Prof. Bex advised to continue with the systemic therapy and have an interval scan. Dr. Marandino agreed with the continued systemic therapy. Prof. Vanneste advised cytoreductive SBRT. He stated, “It’s not a standard procedure. You can avoid the comorbidities of the operation and theoretically, you can also initiate the systemic response with the local treatment.”
Prof. Flippot revealed that a partial nephrectomy was performed on the patient and systemic therapy was stopped. After six months, peritoneal progression was evident. Fortunately, the patient could participate in a clinical trial where she received pembrolizumab and lenvatinib. She had sustained a response even two years later.
About WoodFire®
“WoodFire” was coined to describe the “quick-fire, high-pressure nature” of how Dr. Christopher G. Wood, KCA’s previous Chair of the Board of Directors, light-heartedly spurred on his peers on how to treat patients with kidney cancer.
Discover what the experts say in the other three patient cases. Visit the EMUC24 Resource Centre for the full presentations.
1 Comment
-
Partial nephrectomy from start may avoid this tumo progression with limited morbidity
